Who We Are
Lundgren Dental is a cosmetic and general dentistry practice operated by Britta Lundgren, PLLC, led by Dr. Britta Lundgren. We focus on precision dentistry, patient comfort, and individualized care in a refined, boutique environment.
Comprehensive
First-Class Dentistry
Explore Services
Due to Dr. Lundgren’s unique and extensive training, we offer a large menu of dental services, so you only have to worry about calling one office to take care of your smile near Wrightsville Beach.
Our Patients Absolutly Love Us
I followed Dr. Lundgren from a previous dental office because she is the best! She is so gentle and kind. I feel comfortable asking questions and I know that I am in good hands. The staff is the same way! Always very attentive and kind. 1000/10 recommend!
Georgina, Wilmington, NC
Dr. Lundgren is absolutely amazing! She’s not only incredibly skilled and knowledgeable, but also kind, gentle, and patient. She makes every visit feel comfortable and stress-free. Her hygienist and staff are also very knowledgeable and helpful. I actually look forward to going to the dentist now! Highly recommend her to anyone looking for top-notch care.
Tracy M., Wilmington, NC
I've been a patient of Dr. Lundgreen for the past three years, and she consistently provides excellent care. Her new practice is absolutely fantastic! The space feels cozy and has a relaxing, spa-like atmosphere, which is not something you typically expect from a dental office. The entire staff is friendly and they take good care of you. I recommend this place for anyone in need of a dentist.
Krupanidhi C., Wilmington, NC
I had a fantastic experience at Lundgren Cosmetic & General Dentistry! From the moment I walked in, the atmosphere was so warm and inviting. The space is exceptionally clean and well-maintained, which instantly made me feel comfortable. I was also really impressed by the beautiful decor—it’s clear they put a lot of thought into creating a relaxing and stylish environment. Highly recommend to anyone looking for a top-notch cosmetic experience! Dr. Britta and her staff are the best!!
Carmen H., Wilmington, NC
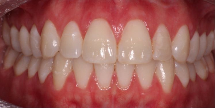
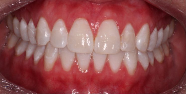
Quality Care, Outstanding Results.
See Dr. Lundgren’s expertise put into action by viewing before-and-after photos of our patients below. Take a look at the amazing results we can achieve and give our nearby dental office a call to start your very own journey today!
Let Us Know About Your Experience
See More SmilesFinding Your New Dental Home
Lundgren Dental is conveniently located in Wilmington between Eastwood Road and Military Cutoff Road. Our office is situated next to Planet Smoothie and just minutes from Mayfaire, Landfall, and Wrightsville Beach.
We are proud to serve patients throughout Wilmington and the surrounding coastal communities in a setting designed for comfort, beauty, and exceptional care.
If you need assistance with directions, our team would be delighted to help.
You Asked, We Answered
Here you’ll find several questions that are frequently asked by patients like you. Rather than make you contact our office for general information, we’ve compiled these questions (and our answers!) into a simple list. Of course, you’re always welcome to call, but if you prefer the convenience of a written answer, please feel free to take a look!
What if I can't afford a dentist?
Dr. Lundgren knows what’s its like to feel self-conscious about your smile, but unable to afford quality treatment. That’s why we offer multiple ways to save money at our practice. Here’s how we can help you afford your dream smile in Wilmington:
- Dental Insurance. We’re a dental insurance-friendly office and accept many different plans. Give us a call, and we’ll happily let you know whether we’re in-network with your provider. We can also help you navigate your benefits to ensure you’re getting the most out of your premium.
- In-House Dental Membership Plan. If you don’t have dental insurance or won’t be receiving much coverage, you may be interested in our membership plan. For a flat annual or monthly fee (your choice!), you’ll receive two free checkups and cleanings, plus discounts on our various services.
- CareCredit Flexible Financing. Sometimes, affording dental care is more manageable when you’re able to spread your payments out between paychecks. That’s exactly what a CareCredit plan will help you do! For little-to-no interest, you can break your total costs down into smaller, monthly chunks.
I have dental anxiety – is there a way you can help?
Certainly! Dr. Lundgren emphasizes comfortable, stress-free care, and we do whatever we can to help patients feel more at ease in our office. Along with our spa-like amenities, we also offer dental sedation for patients with anxiety or who have difficulties relaxing during treatment. Please let us know you’re interested in dental sedation ahead of time, and we’ll be happy to help you determine which of our options is best for you!
If I want Invisalign or dentures, will I need "goopy" impressions?
Fortunately, the days of having to sit in the patient’s chair with a mouthful of "goopy" putty are over! At Lundgren Dental, we have a digital impression system. Instead of waiting for uncomfortable molding material to settle in your mouth, we’ll simply take extremely accurate pictures of your teeth with our iTero scanner. As you can imagine, many of our patients strongly prefer this method!
How long will I have to wear Invisalign?
It will ultimately depend on the severity of your misalignment and how receptive your teeth are to movement. However, on average, Invisalign does tend to be a faster orthodontic treatment than traditional braces. Nowadays these clear aligners can also correct the vast majority of bite issues, so even those with jaw misalignments can enjoy the speed, comfort, and convenience of Invisalign!







